The Power of a Full Body MRI: What You Should Know
- Excel Imaging Center

- Apr 28, 2025
- 2 min read
When it comes to your health, early detection can make all the difference. One of the most powerful tools for preventive care and diagnosis today is the Full Body MRI — a non-invasive scan that provides highly detailed images of your internal organs and soft tissues.
At Excel Imaging Center, we specialize in offering advanced Full Body MRI scans, helping patients take charge of their health with clarity and confidence.
What Is a Full Body MRI?
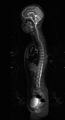
A Full Body MRI uses powerful magnetic fields and radio waves to create detailed images of your body from the head to the waist. It focuses on key areas like:
Brain and blood vessels (MRA of the brain)
Neck and carotid arteries
Chest and lungs
Abdomen (liver, kidneys, pancreas, spleen)
Pelvis (bladder, reproductive organs)
Spine (cervical, thoracic, lumbar)
MRI scans do not use ionizing radiation, making them a safer choice for ongoing monitoring and preventive care.
Why Consider a Full Body MRI?
A Full Body MRI can help:
Detect early signs of cancers and tumors
Identify aneurysms, blockages, and vascular conditions
Find abnormalities in vital organs
Monitor chronic illnesses like liver or kidney disease
Provide peace of mind through comprehensive imaging
It’s an excellent screening tool for individuals with family histories of cancer, cardiovascular disease, or other major health risks.
Full Body MRI vs. Regular MRI: What's the Difference?
Aspect | Full Body MRI | Regular MRI |
Scan Area | Head to waist (brain, neck, chest, abdomen, pelvis, spine) | One specific body part (e.g., just brain, just knee, etc.) |
Purpose | Broad screening for multiple organ systems and early disease detection | Targeted imaging to investigate a specific symptom or condition |
Time | Typically 60–90 minutes | 20–45 minutes depending on the area |
When to Choose | Preventive care, health screening, or for multiple symptoms | Diagnosis of a known or suspected issue in one area |
A Full Body MRI provides a big-picture look at your internal health, while a regular MRI focuses more deeply on a specific problem area.
Why Choose Excel Imaging Center?
Advanced MRI technology with high-field strength
Non-ionizing imaging — safe for your body
Experienced technologists and radiologists
Fast scheduling and quick turnaround times
Cash rates available for those without insurance
Is a Full Body MRI Right for You?
If you are looking for a comprehensive view of your health focused on critical organs and vascular systems, a Full Body MRI is a smart choice. Early detection often leads to better treatment options and outcomes.
📍 Visit us at Excel Imaging Center:13071 Brookhurst Street, Suites 100 & 185, Garden Grove, CA 92843
📞 Call us: (714) 583-8126
🌐 Book online: www.excelimagingcenter.com
Let Us Scan Your Way — schedule your Full Body MRI today!













Comments